2026年3月16日

「毎日しっかり歯磨きをしているのに、なぜか歯周病が進行してしまう…」 そんなお悩みを抱えていませんか?
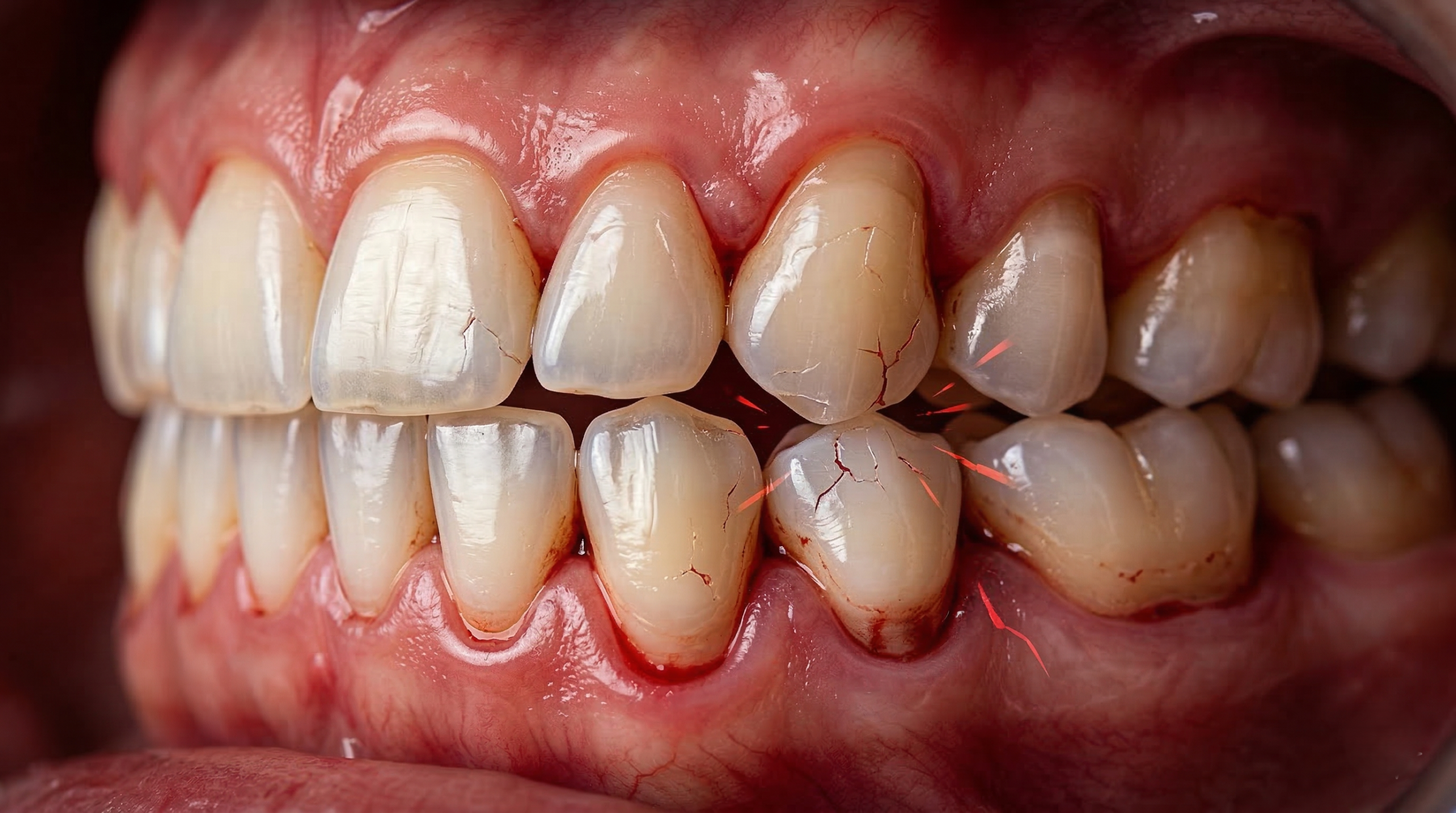
歯周病の原因といえば、磨き残しによる「細菌(プラーク)」だというのは広く知られています。しかし、実はもう一つ、歯周病を猛スピードで悪化させてしまう恐るべき「裏の原因」が存在します。
それが、無意識のうちに行っている「歯ぎしり」や「食いしばり」です。
なぜ「力がかかる」と歯周病が悪化するの?

歯ぎしりや食いしばりが歯周病を悪化させるメカニズムは、「地面に刺さった木の杭(くい)」をイメージすると非常に分かりやすいです。
歯周病菌の役割(地面をゆるくする)
歯周病菌は、歯を支えている骨(地面)を溶かしていきます。
つまり、杭の周りの土がスカスカになり、基礎が弱っている状態です。
歯ぎしり・食いしばりの役割(杭を揺さぶる)
その弱った地面に刺さっている杭に対し、上から横から強い力で「ギリギリ」「グラグラ」と揺さぶりをかけたらどうなるでしょうか?
あっという間に杭の周りの隙間が広がり、最終的にはスポッと抜けてしまいますよね。
これと全く同じことが、あなたのお口の中で起きています。
細菌によって炎症が起きている歯茎に対し、歯ぎしりで過剰なダメージ(体重の数倍から数十倍もの力と言われています)が加わることで、歯を支える骨の破壊が急激に加速してしまうのです。
要注意!あなたは大丈夫?簡単セルフチェック
厄介なことに、歯ぎしりや食いしばりは寝ている間や、何かに集中している時に「無意識」で行っていることがほとんどです。以下の項目に当てはまるものはありませんか?
☑ 朝起きた時、あごが疲れている、またはエラが張っている気がする
☑ 舌の横側や、頬の内側に「歯の跡(波打つような跡)」がついている
☑ 歯の先端が削れて平らになっている
☑ 冷たいものがしみる(知覚過敏)
☑ 今このコラムを読んでいる時、上下の歯がくっついている
特に最後の項目は要注意です。
本来、リラックスしている時は「唇は閉じているけれど、上下の歯は数ミリ離れている」のが正常な状態です。
起きている時に無意識に歯を接触させるクセ(TCH)がある人は、歯周病のリスクが跳ね上がります。
歯を守るための2つの対策
歯周病の進行を食い止めるためには、細菌のコントロール(歯磨きや歯科医院でのクリーニング)に加えて、「力(ちから)のコントロール」が不可欠です。
ナイトガード(マウスピース)の着用
就寝中の歯ぎしりは無意識のため、自分の意志で止めることは困難です。歯科医院で自分専用のナイトガードを作成し、寝る時に装着することで、歯やあごの骨にかかる破壊的なダメージをクッションのように吸収・分散させることができます。
日中の「歯の接触」を意識する
パソコン作業中や家事の最中など、「あっ、今歯を食いしばっていた」と気づいたら、深呼吸をして肩の力を抜き、上下の歯をフッと離す習慣をつけましょう。
目につく場所に「歯を離す!」と書いた付箋を貼っておくのも効果的です。
おわりに
歯周病治療は、「ばい菌」と「力」の両方からアプローチすることが、大切な歯を一生涯守るための近道です。
「もしかして、私も食いしばっているかも…?」と思い当たることがあれば、ぜひ一度、当クリニックまでお気軽にご相談ください。
あなたのお口の状況に合わせた最適な「歯の守り方」をご提案します!
瀬谷アクロスデンタルクリニック
〒246-0031 神奈川県横浜市瀬谷区瀬谷4-23-35 アクロスキューブ瀬谷1-1
TEL:045-489-7400